StartUniversityNewsAcademic Year 2024/2025Major progress in the recon...

Major progress in the reconstruction of extensive facial defects at the Department of Maxillofacial Surgery at the UCC

25.11.2024

Twenty-two complex reconstructive surgeries utilizing microvascular flaps have been performed since January 2024 at the Department of Maxillofacial Surgery at the University Clinical Centre, MUG hospital, headed by Dr. Habil. Barbara Drogoszewska.

Major progress in the reconstruction of extensive facial defects at the Department of Maxillofacial Surgery at the UCC


Since January 2024, the Department has performed ten reconstructions using fibular flaps, nine radial forearm flaps, two anterolateral thigh flaps and one iliac crest osteomyocutaneous flap. These advanced microvascular techniques enable precise transplantation of tissues from donor sites to post-resection defects, ensuring optimal aesthetic and functional outcomes.


– A flap, along with its vascular pedicle, is meticulously harvested from the donor site. Using a surgical microscope, the arteries supplying blood to the flap and the veins draining it are connected to the appropriate vessels at the recipient site. This ensures continuous blood flow, which is critical for graft survival – explains Adam Polcyn, M.D., Ph.D., a specialist at Department of Maxillofacial Surgery.


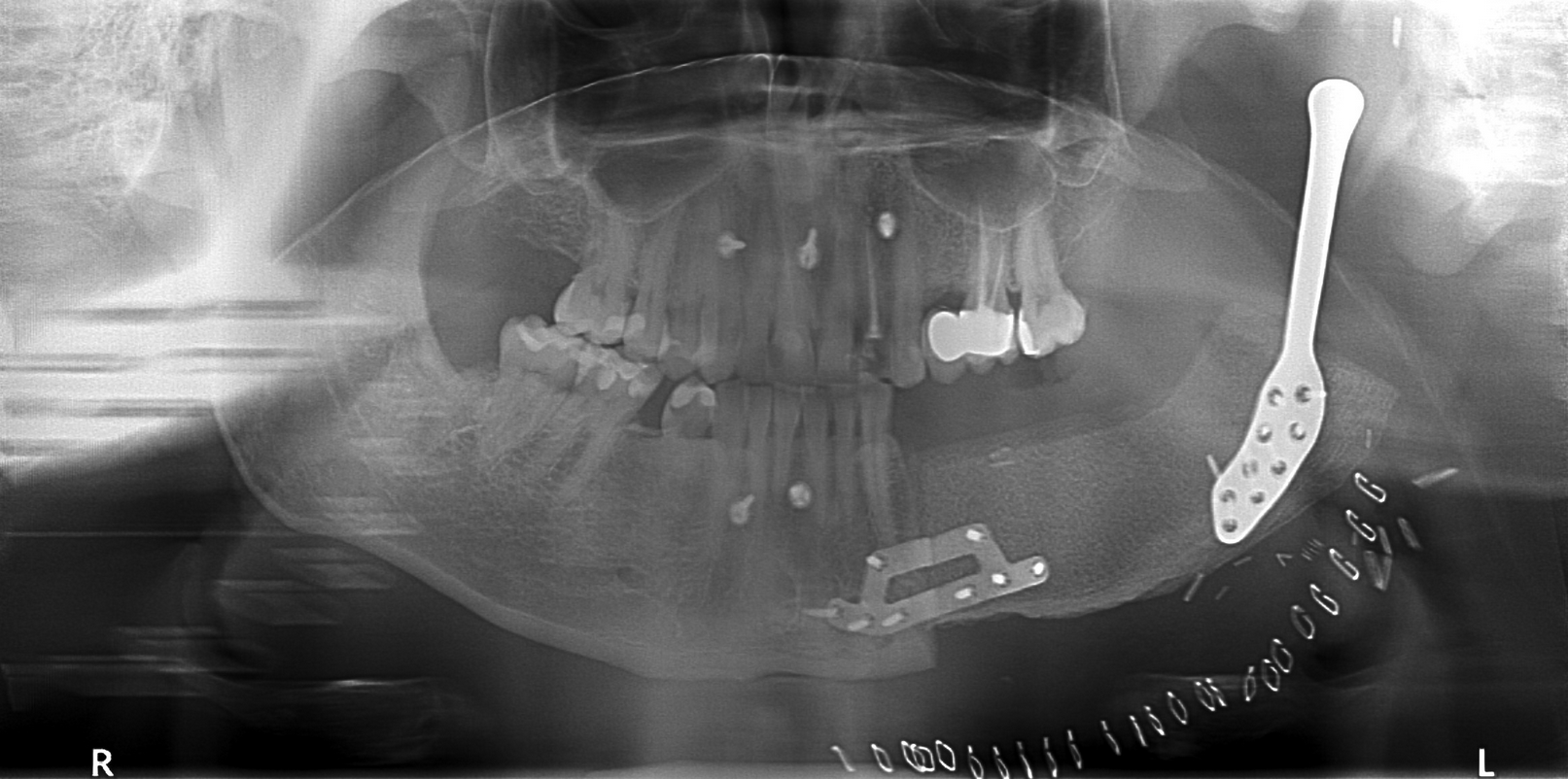
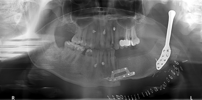
One of the most complex surgeries performed in the clinic involved the reconstruction of the temporomandibular joint using a 3D-printed alloplastic material. This procedure also included the application of a custom-designed iliac crest osteomyocutaneous flap, harvested with the aid of an individualized template. This innovative approach significantly enhances treatment options for patients with craniofacial cancers, substantially improving their quality of life.


The achievements of Department of Maxillofacial Surgery are a testament to the expertise and dedication of its highly skilled team of specialists.


– Complex reconstructive surgeries require close collaboration among the entire surgical team. At Department of Maxillofacial Surgery at the UCC in Gdańsk, operations are conducted by two teams: one focuses on tumour resection while the other simultaneously harvests the flap. Safe and effective procedures are possible thanks to excellent coordination among the surgical staff – explains Łukasz Garbacewicz, M.D., Ph.D., a specialist at the Department.


– Patients at the Department of Maxillofacial Surgery at the UCC receive comprehensive medical care, from thorough diagnostics to meticulous planning, surgery, and postoperative follow-up, adds Adam Michcik, M.D., Ph.D., another specialist at the unit.


The Department of Maxillofacial Surgery at the UCC continues to excel in facial reconstruction, employing state-of-the-art microvascular techniques and leveraging the seamless cooperation of its team of specialists. The surgeries performed at the unit open new horizons for patients with oral and craniofacial cancers, enhancing their quality of life and restoring lost functions.