Successful surgeries of tumors at the Invasive Medicine Centre

StartUniversityNewsAcademic Year 2016/2017Successful surgeries of tum...

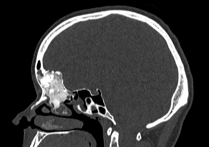
Successful surgeries of tumors at the Invasive Medicine Centre

10.02.2017

obraz1.jpg

Prof. Paweł Słoniewski from the Clinic of Neurosurgery and Andrzej Skorek M.D. Ph.D. from the Clinic of Otolaryngology have their first successes related to the treatment of pathological diseases of nasal sinus and brain. Interdisciplinarity of the treatment is a response to the increasing number of patients suffering from the mentioned above diseases. The specialists worked on improving security of a patient during a surgery. So far they operated 6 patients (2 with malignant and 4 with non-malignant tumors) whose base of a skull frontal bone, meninges and tumors were resected and then a durable and impermeable barrier separating the inside of the skull and the nasal cavity was recreated. The surgeries were carried out at the Invasive Medicine Centre. No complications were recorded.